Billedgalleri
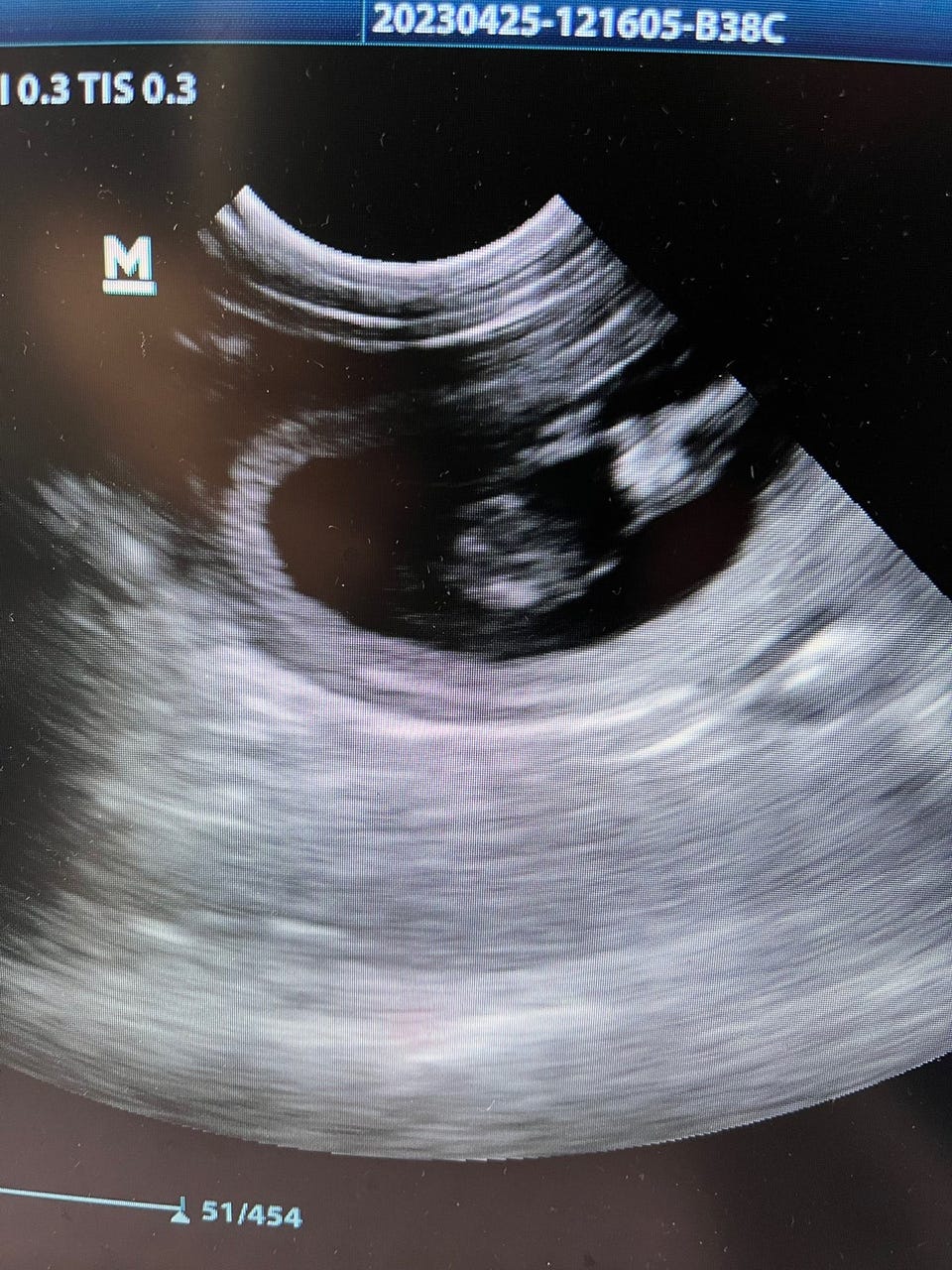
Andet, Drægtighedsscanning
Til salg
400 kr.
Varebeskrivelse
Andet, Drægtighedsscanning, 10 års erfaring i scanning af drægtighed, find mig på Facebook og se mere.
Er din hund med hvalpe?
Vi scanner hjemme hos dig eller I kommer til mig i Albertslund
Vi scanner fra dag 28 efter sidste parringsdag (små hunde fra dag 25) Vi scanner fra dag til dag og vi scanner også aften og weekend.
Jeg er uddannet humansygeplejerske og har mange års erfaring og har super anmeldelser fra kunder, se min Facebookside “Drægtighedsscanning”
Scanning hos mig 400,-
Scanning ude 700,- med tillæg til benzin over 25 km fra Albertslund.
• Vi scanner også heste, geder, får og katte mm •
Skriv endelig hvis I har nogle spørgsmål
#hund #scanning #hvalpe #fødekasse #hvalpekasse #hvalpegård #drægtighed #drægtighedsscanning #gravid #føl #ifol #lam #kid #killing #foster #ultralydsscanning
Brugerprofil
Du skal være logget ind for at se brugerprofiler og sende beskeder.
Log indAnnoncens metadata
Sidst redigeret: 27.11.2024 kl. 23:29 ・ Annonce-ID: 2160087









